「オウム病」って初めて聞いたわ。
人獣共通感染症「オウム病」妊婦で日本初の死亡例
オウム病は人と動物が感染する人獣共通感染症の一つ。「クラミジア・シッタシ」という細菌に感染した鳥のふんなどを吸い込むことで人に感染する。鳥が感染しても症状が出ないことが多く、気がつかないうちに感染する恐れがある。1~2週間の潜伏期間の後、急な発熱や頭痛、せきなど風邪やインフルエンザに似た症状が出て、気管支炎や肺炎を発症。重症化して死亡することもある。厚労省によると、毎年数十人ほどの感染報告があるという。
オウムに限らず鳥全般あかんようですな。
それにしても、鳥の糞ってのは、ほんま怖い。
鳥の糞で有名なんが…

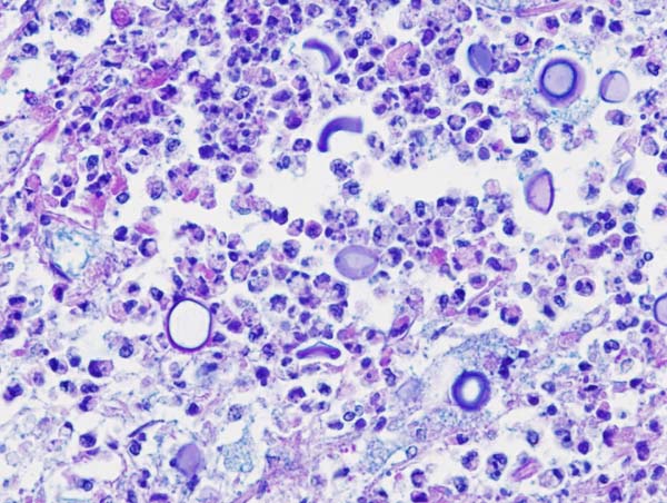
クリプトコッカス症(クリプトコッカスしょう、英: cryptococcosis)とはクリプトコッカス属に属する酵母様真菌の感染を原因とする人獣共通感染症。ヒト、イヌ、ネコなどに感染する。主にCryptococcus neoformansによる呼吸器症状が認められる。クリプトコッカス属は空気中や土壌、植物などの環境中に広く分布する。免疫抑制状態、通常であればその免疫力によって増殖が抑えられている病原性の低い常在細菌が増殖し、その結果として病気を引き起こすことがある日和見感染症の一つとして知られている。
クリプトコッカスなんやけど、ツレの嫁はんが看護師やっとるんやけど、鳩を見る度に「髄膜炎になる」っちゅうて怯えて逃げるのを何度も見せられて、それ以来オイラも鳩を見るとビビるようになってもうたわ(笑)
クリプトコッカスは、鳩だけやなくて、猫も多いみたいやけど。
何にしても、この手の糞害は、健康体ならむしろ免疫を強化する事もあるんやけど、体が弱ってる(免疫力が低下してる)と場合によっちゃ死ぬ事もある。
妊婦なんかは、体が弱ってる典型なんで、ペットを飼ってる人はくれぐれもご注意を。



コメント